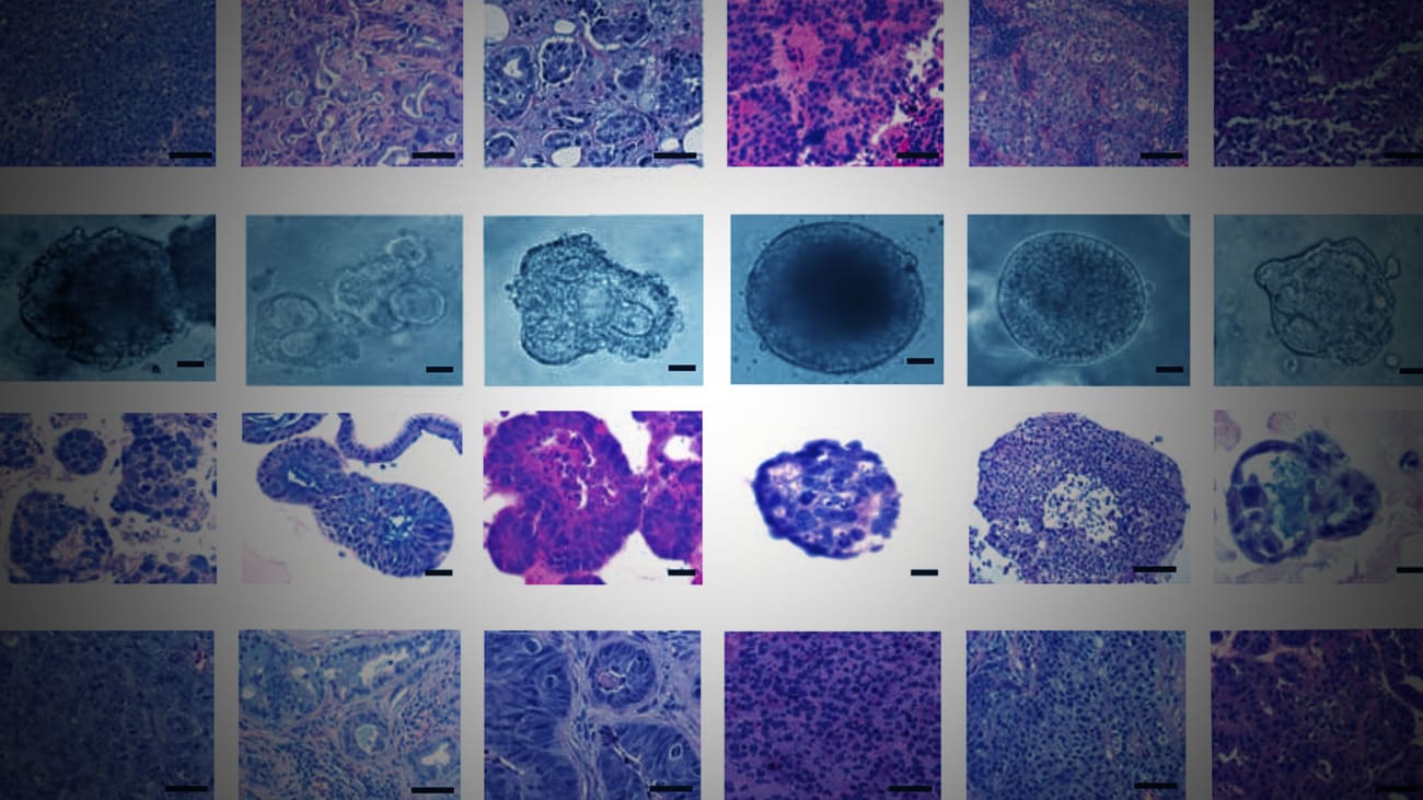
Advances in imaging, biomarkers, and genetic testing continue to benefit patients who present with prostate and bladder cancers. But patients with kidney cancers have mostly been left behind due to a general lack of research funding. An initiative developed by Ketan K. Badani, MD, could help close that gap by generating new diagnostic tools and insights on risk factors.
