During this 20-25 minute pre-recorded lecture, Dr. Aimee Lucas discusses the topic of pancreatic neoplasia. This in-depth review will provide an update on this topic for your clinical practice as well as supplement your learning for the ABIM Gastroenterology and Hepatology boards. CME pre-requiste of live Q & A webinar, 8th Annual Mount Sinai Intensive Board Review in Gastroenterology & Hepatology on Sept 29.
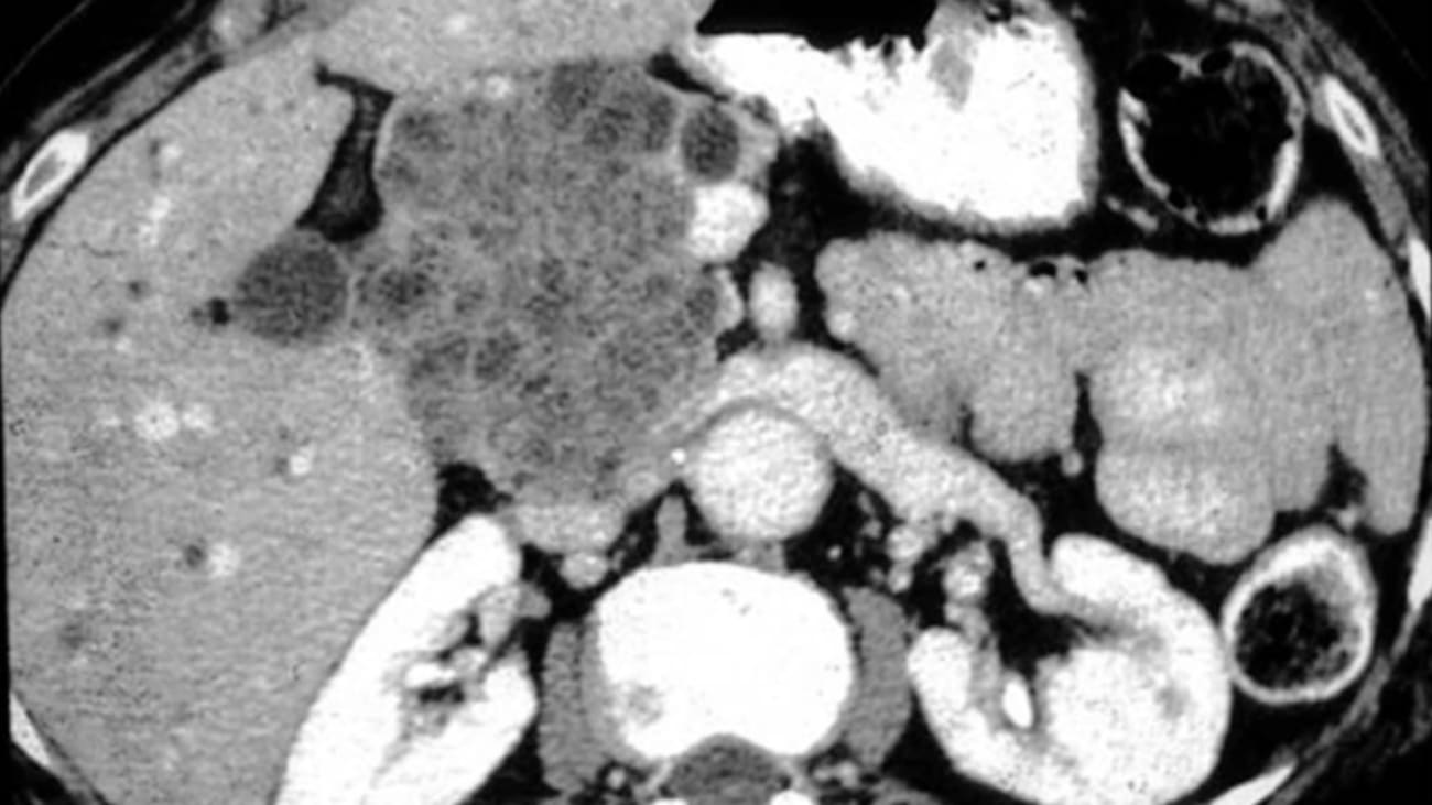
Hello thank you for joining us this afternoon. I would like to thank the course directors for inviting me to give this talk on pancreatic nia Pleasure. Today Our format will be questioned based so we'll start to go through the questions. A 68 year old woman presents to the emergency room with left lower quadrant abdominal pain. Ct scan reveals stool throughout the colon and also reveals a 2.5 centimeter assist in the pancreas mm. RCP confirms a multiple ocular 2.5 centimeter. Cyst in the pancreatic head which communicates with the branch of the main pancreatic duct. Her abdominal pain has resolved with a bowel regimen and she is otherwise asymptomatic. What is the next step in the management of the cyst? A surgical referral for pancreatic duodenal ectomy surveillance with us in 3 to 6 months. MRI or endoscopic ultrasound in 6 to 12 months or an MRI in 12 months. If you're perplexed, it's because we we have multiple guidelines that recommend multiple different options as acceptable and we'll go through some of the data behind them. So first what's all the fuss about? Well, pancreatic cysts can broadly be divided into those that are non neo plastic and we don't have to worry about them. Benign neo plastic with malignant potential or no malignant potential. Those with no malignant potential include are serious cyst adenomas and those with malignant potential include our introductory papillary music Disney. Applause ums or iP men's and the muse. Narcissistic nia possums or coons pancreatic cysts that are malignant include adenocarcinoma, neuroendocrine tumors solid suited popularity us and other lesions. How often do we see this? Well we see them a lot now with an aging population. More imaging is performed. And in this interesting study that was published in C. G. H. About almost a decade ago we looked at the incidence of cysts and the number of patients who had cysts by age. What you can see here is this prevalence clearly increases with age. Overall. About two and a 1/2% of all subjects had cysts in the pancreas with no differences in gender. One of the most common cysts that we see our branch chuck I. P. M. S. These are cysts that have no involvement of the main pancreatic duct. They're tipple are typically multi lobular, multi cystic and separated. An M. R. C. P. May show communication with the main pancreatic duct. 40% of patients may have multiple branch duct I. PMS and they can occur anywhere in the pancreas. They are often diagnosed in patients who are between 50 and 70 years old. You can have this characteristic appearance on M. R. C. P. What about concerning features? What should we worry about? Well there are features that have high risk of stigma of malignancy and these include obstructive jaundiced enhancing rural modules and a main pancreatic duct that's over 10 and then we have other features which are worrisome and concerning including pancreatitis Cyst size over three cm and enhancing mural nodule less than five millimeters. A main duct between five and nine millimeters, abrupt change in the caliber of the pancreatic duct with distal atrophy lymphedema apathy increased serum C A. 99 or cyst growth rate greater than five millimeters over the course of two years. Overall, the more worrisome features we haven't assist, the higher the risk of progression to. So what happens to these patients with cyst, I think traditionally were taught to just follow the cyst. But what's interesting is that because cysts are found more often in older individuals, older individuals sometimes carry significant comorbidities. So this study that was published in the American Journal of Gastroenterology actually characterized cysts as low risk or high risk um and high risk uh assists were those that had any of our concerning features that we reviewed on the previous slide, um or low risk patients, or high risk patients. And a high risk patient was one who had a charleston score which was greater than equal to three. And they looked at both pancreatic cancer mortality as well as non pancreatic cancer mortality. With a reference group being those who had low risk patients and low risk this for the group that had low risk patients. Um and a high risk cyst. The risk of pancreatic mortality was greater than the risk of non pancreatic mortality, but for those who had a high risk patient. And and also a low risk cysts. Um Non pancreatic cancer mortality was actually greater than the pancreatic cancer mortality. And for the high risk patient who also has a cyst which features high risk features um risk of pancreatic mortality is also quite high. Um But we can see elevations significant elevations in non pancreatic uh mortality as well. Mhm. So what to do? We have multiple guidelines that have been published by multiple groups throughout asia. The A. S. G. Has recommendations. The A. G. A. Weighed in. Um And then A C. G. Has also made recommendations recently. And the european groups also have this In 3-6 months and then everyone year alternating MRI with endoscopic ultrasound. With the consideration for surgery if the patient is young and fit. Yeah. Mhm. The A. G. A. guidelines for management of a symptomatic pancreatic cysts recommend that we look at the cysts on imaging and evaluate whether or not there are two or more positive features which include a dilated main pancreatic duct assist that is greater than three cm or a solid component. Our patient uh If yes um then we proceed to us or F. N. A. R. Patient did not have this and so we repeat the MRI one year then by and only two to your five if any positive features develop at any point during surveillance. We move over to endoscopic culture sound. Um And if not it's important to note that the A. G. A. Guidelines suggest it's possible to stop surveillance after five years if there's any interval change and positive features at any point during five year surveillance we can move to repeat endoscopic ultrasound and F. N. A. Most pancreatic experts however, based their clinical decisions based on the Fukuoka guidelines where we reviewed on. Right So what about the question of stopping surveillance? Uh this is a study published in gastroenterology in 2017. Um looked at a variety of cysts uh in patients with maximum cyst size up to nine cm and looked at the duration of follow up and when malignancy developed. And we can see here at the five year interval Um that we have multiple cysts turning into cancer before that. But we also have uh several red dots to the right of this interval. Um and actually the risk of malignancy within three years was 4.3%. Uh And the risk of malignancy after five years. Almost 5.5% suggesting that uh we should continue surveillance despite some of the A. D. A. Record. Yes sir. So moving on Question two. We repeat the MRI in one year and it shows us now that the cyst has grown to three centimeters with suggestion of a mural nodule endoscopic ultrasound confirms the presence of an eight millimeter mural nodule and F. N. A. Was performed cyst fluid C. E. A. Was 2800 cytology was billed scant cellular charity and was diagnostic. What is the next best step in management for her now A repeat MRI in six months. Be checked peripheral blood ceo and recommend resection if greater than 192 repeat endoscopic ultrasound in one year D. E. R. C. P. Or E. Discussing multidisciplinary tumor board and consider resection. The correct answer is E. And if we follow through the Fukuoka guidelines at this point, our patient does now demonstrate one of the worrisome features being the nodule. And if we evaluate that we perform an endoscopic ultrasound which confirms the nodule and then we move on to consider surgery. Well what about main duct I. P. M. Ends these R. I. P. M. Ends with primary involvement of the main pancreatic duct which results in diffuse main pancreatic duct dilation. This can be seen on imaging on the top with a C. T. Scan with a very dilated pancreatic duct. We can also see it on this M. R. C. P. On the bottom left. Um And here we can see an endoscopic view with um Houston extruding from the papillon. Yeah in this case we need to exclude obstructive malignancy is a cause for pancreatic duct dilation. These lesions have a high risk of malignancy And reception is recommended for those that have a pancreatic duct greater than 10 in diameter. The pancreatic duct between five and 9 mm is considered worrisome and close observation is warrant. Question three. A 38 year old woman presents the emergency room with diarrhea and abdominal pain after eating at a fast food taco joint. She undergoes a CT scan which reveals colitis in the left colon and stool PcR demonstrates salmonella. Incidentally a 2.8 cm updated cystic lesions identified in the pancreatic tail with peripheral calcifications. Yeah. A typical image can be seen here on the right with assists and the peripheral calcifications. Mhm. Which of the following is true of this lesion. one. She should be referred for surgical reception to the cyst has ovarian likes troma three. Cyst fluid. CIA is less than five for it occurs with equal frequency in men and women. five It's a benign lesion and no further follow up is needed. Yeah. Yeah. Actually took There's one and 2. So this is amusing narcissistic. Nia plasm essentially exclusively occurs in women. Typically middle aged ovarian stromal seen on pathology is basically a diagnostic hallmark. Usually occurs in the tail of the pancreas but can be seen in the body. Typically imaging demonstrates substations and peripheral calcifications and it does have malignant potential similar to I. P. M. N. Given the young age of patients the location in the distal pancreas which allows for a distal pancreatic to me. Unknown malignant potential surgical section is almost always indicated in suitable surgical candidate. Yeah. Another type assist is a serious cyst adenoma which mostly occurs in women between the ages of 80 and 85. There are characteristic large micro cystic lesions compared comprised of a numeral very tiny cystic spaces giving a honey comb to parents. It can appear like a solid lesion on a CT scan an M. R. C. P. And or endoscopic ultrasound is often diagnostic based on appearance. This classically essential calcification which can be readily visible on C. T. And this lesion has no malignant potential and receptions only indicated if it's causing symptoms related to size. Cyst fluid C. E. A. Is often less than five nanograms from millimeter. Yeah so what is the deal with cyst fluid C. A. Cyst fluid ce a greater than 1 92 nanograms per milliliter suggests amusement assist. The music assists are the assist that typically have neo plastic potential and malignant potential. However it's only 80% sensitive which means you miss 20% of cysts and 80% specific, which means there's 20% false positive and this is fluid see A. Level does not predict malignancy. The higher the CIA the more specific so assist fluid CIA over 1000 is almost definitely amusement assist with about 99% specificity but it's an assist fluid. See a less than five is almost definitely not um use genesis but everything in the middle can be somewhat of a grey zone. A. C. E. A. Of 25 is still 50% likely amusement assist. Moving on to question # four A 63 year old woman with obesity and tobacco use asked about her risk for development of pancreatic cancer. Her medical history includes breast cancer at 52. Her father died of pancreatic cancer at 65 and her brother was just diagnosed three months ago with pancreatic cancer at 60. She comes to you to ask about her risks of developing cancer. Which of the following statements are true. Hey should be, she should be counseled to avoid tobacco smoke, be her risk of pancreatic cancer is 4.5 times that of the general population. See she should be tested for BRC one and BRC two mutations. And if that's negative, her risk of pancreatic cancer is the same as the general population. Or d no guidelines exist for screening this patient for pancreatic cancer. The correct answer is always to avoid tobacco smoke. Yeah. These are data that come from the Hopkins group that are now over 15 years old. Looking at the incidents of pancreatic cancer by the number of affected first degree relatives. First degree relatives are mother, father, sister, brother or Children. What they did was they compared the standardized incidence ratio so the rates of pancreatic cancer in the population with those who have affected first degree relatives To the incidents in the general US population, which at that time was nine for 100,000. What they found was that having one first degree relatives such as one parent Gives you a standardized incidence ratio of about 4.5. But this confidence interval crosses one and so having one first degree relative with pancreatic cancer does not significantly increased risk of pancreatic cancer in in the individual you're evaluating however, when there are two or more first degree relatives, as with our patient who has a parent and a sibling, The standardized instance ratio is approximately 6.4 and this is statistically significant and risk increases with increasing number of affected relatives in the family. Overall it does seem that 10 to 15% of patients who have pancreatic cancer do have familial aggregation or an inherited predisposition. And in fact the N. C. C. N. Updated its guidance this year to recommend germline hereditary genetic testing for all individuals with the diagnosis of pancreatic cancer and if that person is not available perhaps because they've passed away earlier and you're seeing a patient in the office, their first degree relatives. So usually their Children are also candidates for genetic testing. It should be known that smoking is the major known risk factor for this cancer. It's associated with about a third of all cases and it results rated tumor progression. And indeed when we're looking at incidents ratios for pancreatic cancer by smoking status for those in the Hopkins group who had at least one first degree relative with pancreatic cancer, you can see that the standardized incidence ratio for smokers, it was approximately three times that of the non smokers. Despite having similar family histories of pancreatic cancer, there are multiple other inherited syndromes that predisposed to pancreatic cancer. Um The hereditary breast and ovarian cancer as uh syndrome caused largely by mutations in B. R. C. A. One and B. R. C. A. Two carries an increased risk of pancreatic cancer. Drumline mutations in power bi to partner and localizer of B. R. C. A. Two is associated with breast cancer and pancreatic cancer. As our germline mutations in the ATM gene, familial atypical multiple mole melanoma or fam syndrome caused by mutations in C. D. K. And to a gives a much increased risk of pancreatic cancer. These individuals are also at risk for multiple nev. I just plastic nearby and melanomas patients with STK 11 mutations or put Diego syndrome are at incredibly high risk of pancreatic cancer, as well as hammer terminus polyps throughout the intestine breast colon, small intestine ovarian tumors, patients with lynch syndrome also have a modest increased risk of pancreatic cancer as well as the colon cancer, endometrial cancer and a variety of other tumors in patients who have hereditary pancreatitis are also at much increased risk of pancreatic cancer. Um And those with familiar Peloponnesus are also described to have an increased risk of pancreatic cancer, although this is modest are there risk factors do include chronic pancreatitis uh increased red meat processed meat obesity diabetes, which is a complicated story with diabetes being both a risk factor for um and possibly a consequence of the diagnosis of pancreatic cancer. Um and heavy out. Mhm. So who should be screened for pancreatic cancer. You should note that these consensus based guidelines were updated in gut last fall. Um But essentially those who have multiple meaning two or three affected blood relatives with at least one affected first degree relative. Um should be candidates for screening for pancreatic cancer. All patients with put Z. Eggers regardless of family history. And then the germline mutation carers for B. R. C. A. Two pal B to A. T. M. And lynch should undergo screening with one affected relative. B. R. C. A. Two mutation carriers can also consider screening when there are two affected family members. But no first degree relatives affected with pancreatic cancer screening typically occurs using MRI and or endoscopic culture sound with intervals of approximately one year and typically should be performed in large academic centers and under research conditions. Mm. With that, I thank you for your attention and we'll move on to the next speaker.